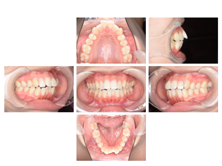
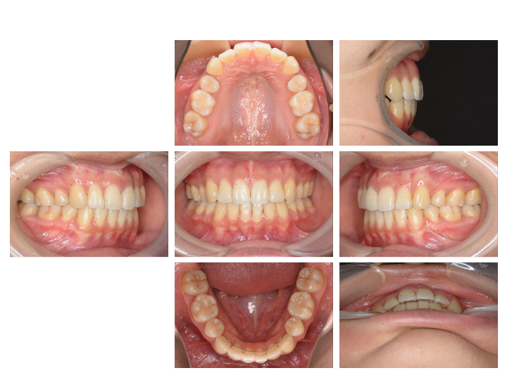
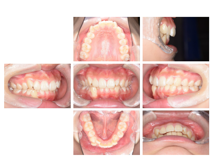
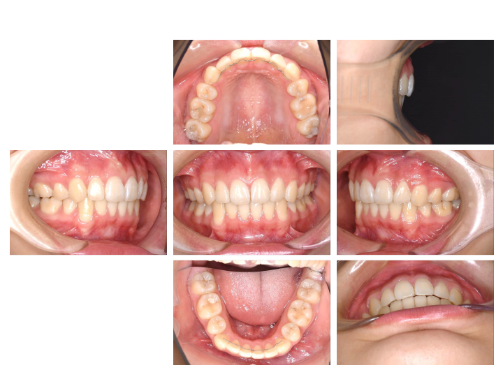
お子さんの矯正(小児矯正)
お子さんの矯正(小児矯正)は、あごの骨のバランスや大きさを整える「1期治療(骨格矯正)」と、永久歯が生えそろってから歯の位置を整える「2期治療(歯列矯正)」の2段階からなります。
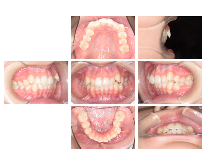
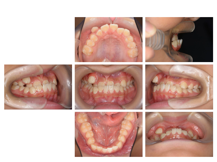
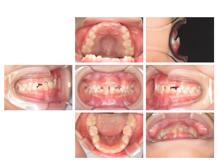
第1期治療
乳歯と永久歯が混じった時期の治療で、主に成長を利用した治療を行ないます。(6~10歳)
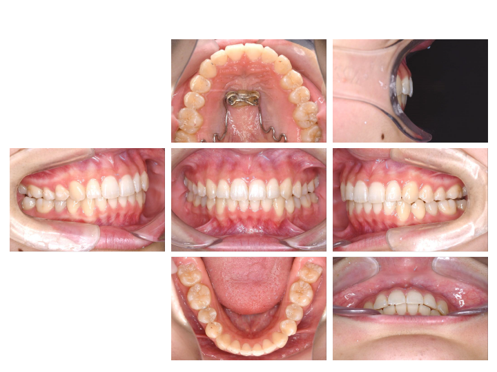
第2期治療
歯の1本1本に装置をつけ、歯の根までコントロールして最終的な咬み合わせを作ります。
実は小児矯正とはいっても、一般的には成人矯正までかかることが多くあります。
日本の小児矯正のおよそ7割は、成人の抜歯矯正になるため、期間にすると、矯正を始めてからおよそ10年かかることになります。
小学生から始めて大学生までかかる長期治療となります。
ですが、当院の「骨格にフォーカスした矯正」ならほとんどが小児矯正(およそ2年)で終わります。
〜当院の矯正治療の5つのメリット〜

1.治療期間が短く7割が幼少期で完治
せっかく並べた歯が後戻りしないよう骨格から整え、短い期間で治療が終えられるようにサポートいたします。

2.治療完了までの費用が安い
通常10年かかるところを2年で終えられるため、治療開始から終了までのトータルで見ると費用を抑えて矯正ができます。

3.お顔が綺麗になる
口腔周囲筋にもアプローチし、お顔の骨格自体を整えることができるため顔貌も変わります。

4.矯正医による確実な矯正治療
経験豊富な矯正医が治療を行います。
骨格にアプローチする矯正治療で無闇に歯を抜いたりせず、自然と正しい位置に歯が並ぶよう、一人一人に合わせた確実な治療を行います。

5.違和感・痛みが少ない
骨の成長を利用して治療するため、成人矯正のように歯を動かしていく治療よりも痛みが原因で治療をやめてしまうことがありません。
















































